Septembre   2012

 

Sexologos   #  03
 
 
Santé
Publique
 
 

 

 

DYSFONCTIONNEMENT SEXUEL
ET SYNDROME DE KLINEFELTER

 

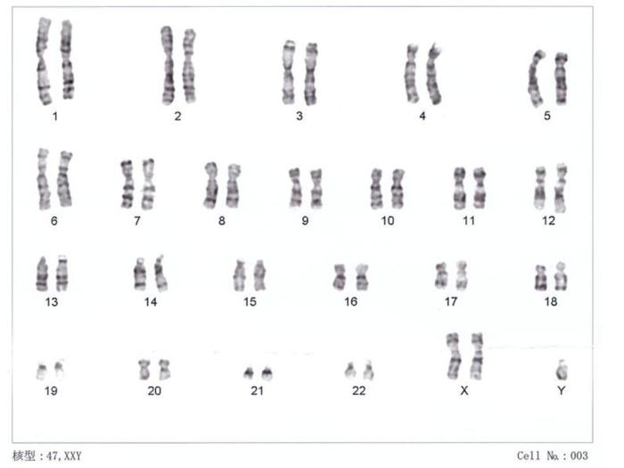
  L’infertilité des patients porteurs de cette anomalie chromosomique est bien connue.
Cette étude porte sur une population de 1386 hommes de 48.9+-12.7 ans parmi lesquels 23 avaient un syndrome de Klinefelter. 5 d’entre eux avaient une dysérection sévère, 14 un désir hypoactif et deux des troubles de l’éjaculation.
Les troubles sexuels sont dus à un déficit en testostérone et ne sont pas liés directement à l’anomalie chromosomique.
 
 
  C.G.Petrone INT.J.ANDROL 25 septembre 2009.
 
 

Retour